Du Lundi au Mercredi et Vendredi de 8h15 à 12h et de 14h à 18h30
Docteur Alain HUETO, chirurgie dentaire à Villeneuve-lès-Avignon
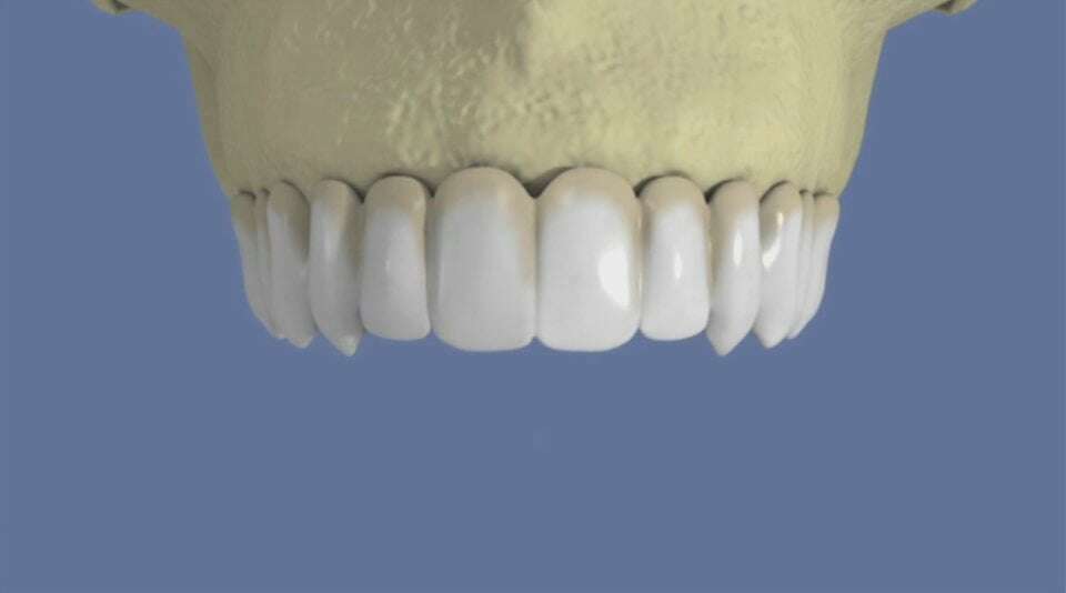
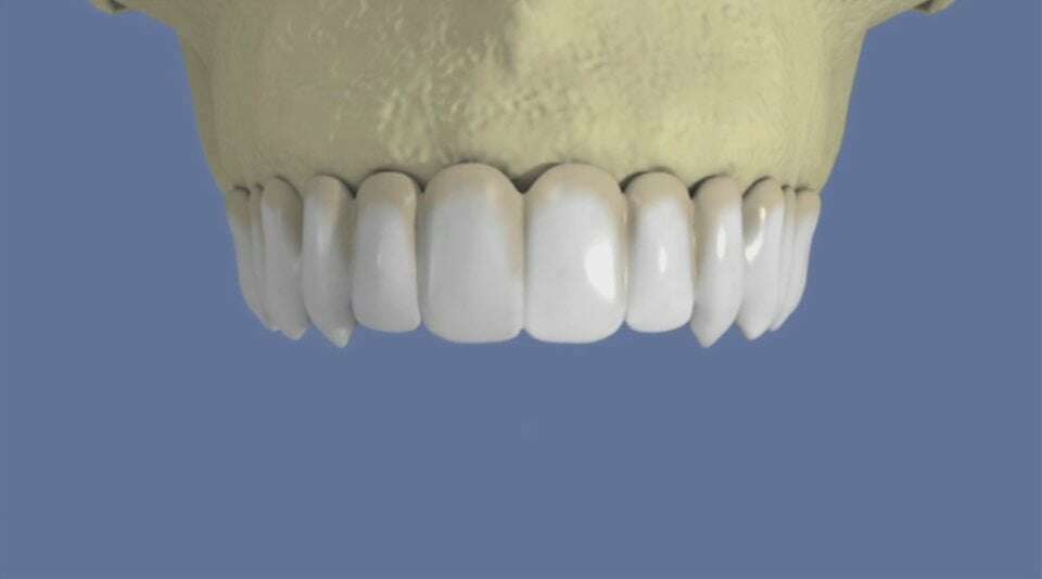
Mandibule complète et traitement implantaire pour un bridge fixe scellé
Maxillaire all-on-6 et comblement de sinus
Création par
Connexion
Vidéo en cours de lecture